Skip Menu
Continue
  • 4903 Thomas Alton Blvd,
  • Unit 105,
  • Burlington, Ontario L7M 0W8
  • Home
  • About Us
    • Our Office
    • New Patients
    • Smile Gallery
    • Dental Videos
    • Testimonials
    • Our Community
  • Meet Our Dentist
    • Shveta Chugh, DDS
  • Services
      • Cosmetic Dentistry
      • Crowns & Caps
      • Dental Bridges
      • Dental Fillings
      • Dentures
      • Digital Impressions
      • Extractions
      • Implant Dentistry
      • Oral Exams
      • Pediatric Dentistry
      • Periodontal Treatment
      • Preventive Program
      • Root Canals
      • Teeth Whitening
      • Veneers
    • View All
  • Dental Health
  • Contact
    • Contact Us
    • Request Appointment

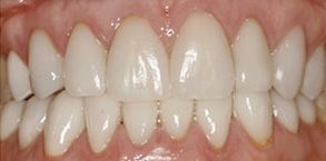
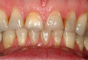
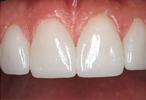
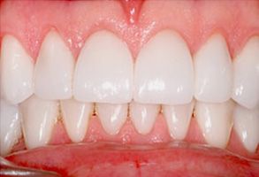
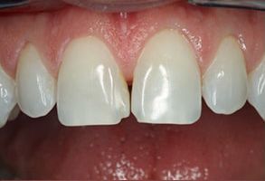
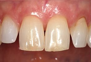
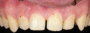
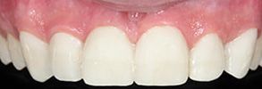
Smile Gallery

Additional Information

Our Location

4903 Thomas Alton Blvd
Unit 105
Burlington, Ontario L7M 0W8
(905) 331-2424

Follow Us